Reali „padėvėto“ žirgo kaina
Jei nusprendėte įsigyti „tik lengvam pasijodinėjimui“ tetinkamą žirgą arba išgelbėti užskurdintą, nujotą, sutraumuotą žirgelį, ši atmintinė padės jums susiplanuoti būtiniausius veiksmus ir išlaidas.
Tokie žirgai paprastai turi dviejų rūšių problemas - matomas ir nematomas. Apie matomas nekalbėsime, jas ir taip žinote, nes būtent dėl jų žirgas ir pateko į kategoriją „pigiai ir skubiai - tik į geras rankas". Bet tai tik viena medalio pusė. Labai tikėtinos ir įvairios lėtinės ligos, kurių išorinė apžiūra gali ir neparodyti. Dalį jų įmanoma išgydyti, dalies ne - tik pristabdyti progresavimą arba nuslopinti simptomus.
Taigi, čia ir pabandysime aptarti dažniausius „siurprizus", kurių gali sulaukti nieko nenutuokiantis pirkėjas. Patarsime, kaip suktis iš bėdos ir kiek tai kainuos. Deja, posakį „žinojimas - auksas" šiuo atveju teks keisti posakiu „žinojimas - bankrotas". Labai tikėtina, kad jūsų lauks ilga draugystė su veterinarijos gydytoju ir išlaidos, gerokai pranoksiančios žirgo pirkimo kainą.
Antra vertus, žinojimas padės jums ir jūsų žirgui apsisaugoti nuo begalės „konsultantų", dosniai dalijančių „stebuklingus" ir vienas kitam prieštaraujančius gydymo, auklėjimo ar treniravimo receptus.
Prasta savijauta, apatija, nušiuręs kailis
Labai banalu – pirmiausia pasirūpinkite kirminų išvarymu. Nelaukite, kol žirgas pradės trinti uodegą. Idealiausia būtų padaryti koprologinį tyrimą, pagal kurio rezultatus ir parenkami žirgui tinkamiausi antihelmintikai. O gal tyrimas parodys, kad jų kol kas iš viso nereikia... Arba kad neseniai suduoti vaistai buvo visiškai neveiksmingi...
Kirminai pripranta prie vienos rūšies antihelmintikų, todėl juos reikia nuolat kaitalioti. Ir keisti ne firminį pavadinimą, bet konkrečią, vaistuose esančią veikliąją medžiagą.
Jei priežastis – ne kirminai, ieškokite toliau. Kitas etapas – dantys. Jei dantų pakraščiai aštrūs, žalojamas burnos paviršius, žirgui sunku sukramtyti pašarą ir toks pašaras prasčiau įsisavinimas.
Trečias etapas - bendras kraujo tyrimas. Reikia tirti ne tik kraujo morfologiją, tai yra, ląsteles (uždegimo ar anemijos požymius), bet ir mineralų kiekį / santykį bei inkstų ir kepenų darbą. Jei organizme trūksta kokių nors mineralų arba jų santykis neteisingas, paprasti vitaminų ir mineralų mišiniai niekuo nepadės. Neverta mėtyti pinigų į balą. Ieškokite specialisto, kuris išanalizuotų kraujo tyrimo rezultatus ir pagal juos parinktų žirgui reikalingus papildus.
Be to, naudinga išmanyti savo regiono specifiką, nes dirvožemio (ir vandens) sudėtis būna skirtinga, vienų mineralų trūksta, kitų per daug – tai irgi išbalansuoja žirgo organizmą.

1 patarimas: jei žirgas sulysęs, jei jam krenta svoris, nepulkite jo „farširuoti“ įvairiais maistingo pašaro, košių, aliejų ir papildų deriniais. Ieškokite PRIEŽASTIES. Žirgas – ne penimas paršelis! Jo virškinimo sistema labai jautri bet kokios rūšies (pvz., angliavandenių) „perkrovai", nes genetiškai pritaikyta prie skurdaus pašaro. Tad pakenkti lengviau nei padėti. Kokybiško šieno, nedidelio kiekio avižų ir pagal kraujo tyrimus priderintų mineralų / vitaminų papildų turi pakakti, kad žirgas jaustųsi sveikas ir žvalus. Jei iš tokio pašaro jis nepasiima visų reikiamų medžiagų, reiškia, jį kamuoja kokia nors liga ar negalia. Svoris gali kristi dėl kokio nors mineralo / vitamino trūkumo arba disbalanso, dėl opų, sutrikusios hormonų pusiausvyros, plaučių ligų ir begalės kitų priežasčių. Nemaskuokite jų „atšėrinėjimo“ programomis.
2 patarimas: ieškokite papildų su chelatiniais mineralais. Kam apskritai reikalingi mineralai? Ogi jie aktyvina viso organizmo fermentus, be kurių ląstelėse nevyktų cheminės reakcijos, atsakingos už raumenų, nervų ir visų organų veiklą. Taigi, kad mineralai atliktų savo užduotį, būtinos dvi sąlygos: a. geras įsisavinimas; b. „nutransportavimas" tiksliu adresu iki tam tikro fermento, kuris jį asimiliuotų. Taigi, mineralą reikia apsaugoti, kad virškinimo trakte jis nebūtų suskaidytas anksčiau laiko. Tam ir reikalingas chelatinimo procesas. Jo metu mineralo atomą kaip sargybiniai apsupa tam tikra molekulių grupė, kuri saugiai jį nulydi į reikiamą vietą. Tokiais asmens sargybiniais dažniausiai įdarbinamos amino rūgštys.
Kaina: koprologinis tyrimas - apie 40 lt, antihelmintikai – apie 100 lt per metus. Bendras kraujo tyrimas – nuo 40 iki 150 lt. Chelatiniai papildai kainuoja brangiau nei paprasti, bet didesnę kainą atperka jų geresnis įsisavinimas ir veiksmingumas.
Skrandžio ir žarnyno opaligė
Jei žirgas nuolat patirdavo stresą, jei badavo, jei šienas buvo taupiai normuojamas, o koncentratai šeriami dideliais kiekiais, beveik garantuota, kad jis turi skrandžio ir/arba žarnyno opaligę. Moksliniai tyrimai teigia, kad skrandžio opalige serga iki 60 proc. sportinių ir iki 90 proc. treniruojamų lenktyninių žirgų (McClure et al, 1999, Mitchell, 2001; Murray et al, 1996, 1989). Be to, manoma, kad daugiau nei pusė skrandžio opalige sergančių žirgų opų turės ir žarnyne. Deja, nėra tikslaus būdo žarnyno opaligei diagnozuoti.
Taigi, sveiki atvykę į opininkų klubą!
Opaligės bėda ta, kad jos simptomai nėra specifiniai ir juos lengva nurašyti elgesio ar kitoms problemoms.
Plačiau skaitykite straipsnyje Skrandžio ir žarnyno opaligė
Alergija dulkėms, LOPL, lėtinis kosulys, emfizema
Jei žirgas ilgą laiką gyveno nevėdinamose arklidėse, kvėpuodamas šlapio kraiko (amoniako) garais, kraiko ir palaido šieno dulkėmis, jo kvėpavimo takai ir plaučiai nebus sveiki.
Alergija dulkėms / astma / lėtinis kosulys / lėtinis bronchitas / lėtinė obstrukcinė plaučių liga (LOPL) – tai vienas ir tas pats. Šiais skirtingais pavadinimais įvardijami lėtiniai, progresuojantys plaučių ir kvėpavimo takų pažeidimai (toliau straipsnyje juos vadinsime LOPL). Jie nepagydomi. Juos sukelia tik netinkamos laikymo sąlygos. O prie tų netinkamų sąlygų priklauso ne vien tokie kraštutinumai, kaip savaitėmis nevalomi gardai, iki žemės nudrikę voratinkliai ar savininko „alergija“ levadoms. Netinkamos sąlygos – tai ir tokios „smulkmenos“ kaip dulkinas kraikas, šieno laikymas arklidės viduje arba pastogėje, žirgo valymas ir šukavimas garde, gardo valymas neišvedus žirgo, per daug sandarūs langai ir durys. Kitaip tariant, įprasta arklidžių kasdienybė... Kaip ir LOPL.
Liga kyla, kai organizmas jau nebesugeba atlaikyti dulkių „atakų“ ir kenksmingų garų poveikio. Ligos esmę trumpai galima apibūdinti taip: dėl nuolatinio dirginimo gausiau skiriasi sekretas, prasideda bronchų spazmai, sekretas negali pasišalinti, tirštėja ir kaupiasi ant kvėpavimo takų sienelių. Kvėpavimo takai susiaurėja dėl sienelių pažeidimų, klampus sekretas dar labiau siaurina praėjimą. Žirgui prireikia vis daugiau ir daugiau fizinių pastangų kvėpuoti, kad nedustų. Tokios fizinės pastangos tiesiogine žodžio prasme plėšo plaučių audinį.

Tirštas sekretas – puiki vieta bakterijoms apsigyventi, be to, ligos metu pažeidžiamas ir bronchų gleivinės paviršius. Dėl šių pažeidimų mikrobams lengviau sukelti vadinamąsias antrines infekcijas - bronchitus arba tracheitus.
LOPL - ne plaučių, o viso organizmo liga. Organizmas jaučia nuolatinį deguonies trūkumą, pasikeičia kraujo sudėtis - jame padidėja anglies dvideginio kiekis, o tai trikdo visų gyvybinių organų veiklą.
LOPL pradžia gali būti besimptomė, tad iš pradžių jūs nieko neįtarsite. Galbūt pastebėsite šiai ligai būdingą padėjusią apatiją, energijos trūkumą. Greičiausia pagalvosite, kad žirgas tiesiog „tingi“. Gal nuspręsite padidinti avižų normą, nupirksite energetinių papildų arba užsidėsite pentinus. Bet jei būklė nesikeis – ieškokite priežasties plaučiuose.
Tiksliausia diagnostika – bronchoskopija. Kai kuriuos LOPL simptomus galima pastebėti ir vizualiai. Pirmas pavojaus signalas - išskyros iš šnervių.
Vėliau simptomai stiprėja tokiais etapais:
- padažnėjęs kvėpavimas,
- ilgesnis kvėpavimo atsistatymas,
- čiaudulys,
- retas kosulys,
- kosulys darbo pradžioje,
- dažnėjantis kosulys bet kur ir bet kada,
- išplėstos šnervės,
- kosulio priepuoliai greitai palaksčius,
- kosulys bet kada pajudėjus,
- dusimas.
Pirmus simptomus lengva pražiūrėti, bet čiaudulio ir kosulio – niekaip. Jei žirgas kosti, privalote reaguoti IŠ KARTO! Neguoskite savęs, kad tai tik „paprastas peršalimas“ ar infekcija. Tą galima labai paprastai patikrinti, pamatavus temperatūrą. Jei temperatūra pakilusi, reiškia, ligos kilmė gali būti uždegiminė ir gydoma vaistais. Jums pasisekė. Bet jei temperatūra normali, labai tikėtina, jog išskyros iš šnervių ir kosulys rodo nepastebėtos/dar nediagnozuotos LOPL paūmėjimą. Ir tai sudaro apie 90 proc. visų kosėjimo atvejų.
Jei žirgas turi LOPL, iki pat jo gyvenimo pabaigos privalėsite rūpintis dviem dalykais: paūmėjusių simptomų slopinimu ir ligos progresavimo lėtinimu. Pratinkitės prie minties, kad jūsų žirgas turės gyventi lauko sąlygomis ir gauti nedulkančius pašarus (šienainį, 10-15 minučių mirkomą šieną). Kitos išeities tiesiog NĖRA. Nepasiduokite iliuzijai, kad vaistais, skiepais, inhaliacijomis ar kitomis procedūromis suvaldysite ligą, nekeisdami iš esmės žirgo laikymo sąlygų. Taip tik prarasite brangų laiką, per kurį žirgo būklė gali dar pasunkėti.
Svarbu žinoti: skiepai šiuo atveju – ne išeitis. Jie gali apsaugoti tik nuo konkrečios virusinės ligos, kuriai buvo sukurti, pvz., nuo arklių gripo. Nuo jokių kitų ligų jie nesaugo. O jei žirgas jau serga (nors ir peršalimo liga), skiepyti jo griežtai negalima.
Jei LOPL neįsisenėjus, paūmėjusius simptomus (kosulio priepuolius) galima malšinti žolelių sirupais, laižalais, inhaliacijomis.
Jei pažeidimai gilesni, simptomų paūmėjimai gydomi stiprių, veterinarijos gydytojo parinktų vaistų komplektu. Vieni vaistai atpalaiduoja bronchų spazmus, kiti skystina sekretą ir skatina jo pasišalinimą, treti kovoja su bakterijomis, kurios jaukiai gyveno ir dauginosi sutirštėjusio sekreto sankaupose, ketvirti mažina alergijos sukeltus simptomus. Bendra gydymo kurso kaina - apie 500-600 Lt.
Ypač sunkiais atvejais standartinis gydymas gali būti nebeveiksmingas. Tada beliks gana rizikinga procedūra – plaučių „plovimas“, į organizmą suleidžiant didžiulius skysčių kiekius, kad suskystėtų kvėpavimo takuose esantis sekretas ir žirgas galėtų jį iškosėti. Bet ir tai nebepadės, jei ilgalaikiai lėtiniai pažeidimai per daug paveikė plaučius ir bronchus.
Vėlesnėje ligos fazėje sumažėja kvėpavimo takų elastingumas ir plaučių kvėpuojamasis paviršius, dalis plaučių audinio tiesiog suplyšta dėl perkrovos, bandydama kompensuoti deguonies trūkumą. Išoriškai jau matosi sunkus kvėpavimas, ties paskutiniais šonkauliais formuojasi „dusulio vaga“, kai kada, po didelių krūvių, gali prasidėti kraujavimas iš kvėpavimo takų.
Patarimas: išdrįskite pasipriešinti bendrai „madai“ kiekvieną ligą gydyti antibiotikais. Rizikuojate daugiau prarasti nei laimėti. Jei išsivysto LOPL komplikacija -bronchitas, taip, jo gydymui antibiotikai reikalingi, bet ne bet kokie. Yra toks dalykas kaip mikrobų atsparumo antibiotikams tyrimas. Jis parodys, kurio konkrečiai antibiotiko „bijo“ ligos sukėlėja bakterija. Arba galbūt parodys – kas įvyksta vis dažniau ir dažniau – kad ta bakterija atspari visiems žinomiems, žirgų gydymui skirtiems antibiotikams. Kitaip tariant, vaistų nuo jos NĖRA. Tokiu atveju teliks viltis, kad žirgo organizmas pats susidoros su ja. Bet kam silpninti jo imunitetą bereikalingu antibiotikų kursu vien dėl iliuzijos, kad jūsų žirgas „gauna gydymą“?
Kaip suplanuoti krūvį LOPL sergančiam žirgui? Laisvas, bendrą organizmo tonusą palaikantis judėjimas levadose / ganyklose yra būtinybė. Gydant simptomų paūmėjimą, reikia ir priverstinio judėjimo – vaikymo ant kordo, jojimo laisvu pavadžiu, kad žirgas išsikosėtų ir pašalintų iš plaučių suskystėjusį sekretą.
Kai kurie specialistai siūlo tokią krūvio skaičiavimo formulę: galima lengvai dirbti gryname ore, jei per treniruotę būna ne daugiau nei 5 kosulio priepuoliai. Venkite nuovargio, nes žirgo kvėpavimo aparatas ir taip patiria dideles perkrovas, kad patenkintų padidėjusį deguonies poreikį. Jei per treniruotę kosulio priepuoliai kartojasi 10 ir daugiau kartų – jokio darbo, tik laisvas judėjimas levadoje.
Kvėpavimo takų ligų simptomų mažinimo „kaina“: tyrimas – apie 300 Lt, vaistai - nuo 500 iki 1000 Lt. Ir visas šitas vargas bei išlaidos – tik plaučiams išvalyti. Tai ne ligos gydymas, o laikinas jos simptomų pašalinimas. Jei nepasikeis žirgo laikymo sąlygos - laikymas lauke, šėrimas nedulkančiais pašarais – pinigai bus išleisti veltui, liga progresuos, o simptomai kartosis su didesniu intensyvumu.
Svarbu žinoti: laikymas lauko sąlygomis nereiškia laikymo plyname lauke. Laikant lauko sąlygomis būtini vadinamieji lauko gardai ir / arba specialios pašiūrės, į kurias žirgas galėtų įeiti kada tik užsinorėjęs. Tai reikalinga apsaugai nuo šalčio, vėjo, šlapdribos (rudenį ir žiemą) ir nuo karščio bei mašalų (vasarą). Žirgui ypatingai pavojinga drėgna žvarba, kuri gali sukelti lėtines ir labai skausmingas sąnarių ligas, pažeisti raumenyną. O laikymą plynoje vietoje be galimybės pasislėpti nuo karščio ir mašalų atakų galima drąsiai įvardyti kaip gyvūno kankinimą.
Sausgyslės, sąnariai, raiščiai

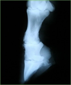
Jei žirgas nešlubuoja, deja, tai dar nereiškia, kad jo kojos sveikos. „Nelygus“ bėgimas, po pertraukos užstingę sąnariai, tinstančios kojos, netaisyklinga stovėsena ir kiti panašūs simptomai gali reikšti rimtus pažeidimus. Laimei, kojų problemoms diagnozuoti yra puiki, tik nepelnytai ignoruojama priemonė – rentgenas. Nepasikliaukite vien savo akimis – jos šioje situacijoje bevertės. Žirgai yra talentingi skausmo ir problemų maskuotojai. Jie gali apgauti net ir žymiai labiau patyrusius specialistus. Patikėkite, ne vienam veterinarijos gydytojui teko išgyventi didžiulę nuostabą, pamačius žvalaus ir „beveik nešlubo“ žirgo kojų vaizdą rentgeno nuotraukoje, atskleidusioje gilias, su judėjimu beveik nesuderinamas problemas.
Taigi, jei planuojate žirgą joti, būtinai padarykite kojų nuotraukas - be jų nežinosite realios padėties ir negalėsite suplanuoti teisingo krūvio.
Pirmiausia apie regimus „defektus“.
Antkaulis – dėl kaulą dengiančios plėvelės (antkaulio) pažeidimo prasidėjęs nekontroliuojamas jos augimas, o vėlesnėse stadijose ir sukaulėjimas. Priežastys – tiesioginis sumušimas, ilgalaikis raiščių/sausgyslių prisitvirtinimo vietų perkrovimas. Jei antkaulis neliečia sausgyslės, nervų ar raiščių, galite jį laikyti kosmetiniu defektu. Jei liečia – žirgas nuolat šlubuos. Antkaulį galima bandyti tirpdyti vaistais, bet jokių garantijų, kad sulauksite sėkmingo rezultato. O ir pats gydymas bus ilgas ir žirgui nemalonus. Be to, nėra jokių garantijų, kad „senas" antkaulis vėl nepradės augti.
„Nalyvas“ – ties čiurna esantis neišnykstantis patinimas. Kalbant medicinos terminais, tai - lėtinis sausgyslės ir aplink ją esančių raiščių bei audinių uždegimas, dėl kurio uždegiminis skystis suteka į žemiausią sausgyslės makšties vietą ir ten pasilieka, vėliau sustandėja. „Nalyvai“ – labai aiškus signalas: šitas žirgas turi problemų su sausgyslėmis! Neteisingi krūviai ir/arba neteisingas kanopos balansas sausgyslėse sukėlė įvairias mikro traumas ir pažeidimus, kurie buvo tik apgydyti arba išvis pražiūrėti. Išoriškai problemos tarsi ir nematyti, bet tokios sausgyslės visam laikui išliks silpnesnės, tad nenustebkite, jei santykinai nesunki trauma žirgą tiesiogine prasme išvers iš kojų.
Bursa - alkūnės, kulno sąnario srityje, ties gogu esančios minkštos arba jau sukietėjusios „pagalvėlės“. Tai poodinės struktūros, kurias galima laikyti kosmetiniu defektu, jei nepūliuoja ir nedidėja. Labai didelės bursos arba jų uždegimai gydomi vaistais ir kitomis priemonėmis (spec. tvarsčiais, prideginimais, isgramdymais). Nemaišykite bursų su sąnario kapsulės tyniais - tai visiškai skirtingi savo kilme ir gydymu bei pavojingumo laipsniu dalykai.
Kitos lėtinės problemos, sunkiai pastebimos ir dažniausiai jau nebeišgydomos.
Sausgyslės - tai elastingas lygiagrečių skaidulų pluoštas, jungiantis kaulus su raumenimis.
Labai tikėtina, kad pažvelgę į „padėvėto“ žirgo sausgyslę, pamatysite ne lygų, standų, tamprų audinį, bet keistą gumburiuotą darinį. Sausgyslės tokios tampa dėl įvairių senų pažeidimų, dažniausiai jau surandėjusių. O sausgyslės skaidulų pažeidimus gali sukelti begalė dalykų: neteisingas kojos statymas ir spyrimasis, bendro balanso nebuvimas, per didelė apkrova, per anksti pradėtas treniravimas, netolygus, neteisingas krūvis, tiesioginiai sumušimai ir patempimai. Nuo pažeidimų sausgyslė silpnėja, praranda savo tamprumą ir elastingumą, nes seni randai neleidžia jai išsitempti ir susitraukti tiek, kiek reikėtų. Dėl sutrumpėjusių sausgyslių ir jų pažeidimus lydinčio lėtinio skausmo trumpėja natūralus žirgo žingsnis, keičiasi stovėsena ir netgi visas raumenynas.
Ūmios sausgyslių traumos - išgydomos, bėda ta, kad sausgyslės gijimas trunka apie 9 mėnesius ir net ilgiau. Kodėl? Ūmi trauma nutraukia sausgyslės skaidulas. Pažeidimo vietoje kyla uždegimas, jo požymiai - tinimas, karštis, skausmas. Uždegimas išgydomas maždaug per savaitę laiko. Koja nebepatinusi, nekaršta, žirgas nešlubuoja. Reiškia, sveikas? Deja, ne. Tik dabar prasideda tikrasis sausgyslės gijimas - sutraukytų skaidulu suaugimas. Žirgui - ramybė. Raiteliui - ilgi mėnesiai kantraus laukimo.
Kodėl sausgyslė gyja taip ilgai? Tam yra visas pluoštas priežasčių:
- sausgyslėje mažai kraujagyslių, o tai reiškia silpną kraujotaką. Silpna kraujotaka nesugeba sparčiai atnešti visų gijimui reikalingų maistinių medžiagų.
- Pažeistoje vietoje iš pradžių formuojasi kitokio tipo audinys. Jei sausgyslė sudaryta iš I tipo kolageno, tai pažeistoje vietoje atsistato II tipo kolagenas. Jis ne toks elastingas ir stiprus, linkęs greičiau suirti ir randėti, jei gyjanti sausgyslė gaus per didelį krūvį.
- Pažeistoje vietoje besiformuojantis rando audinys 50 proc. reikiamo stiprumo pasiekia per 6-8 savaites nuo traumos. Tai kritinis metas, kurio metu bet kokia apkrova gali atnaujinti ir pagilinti sausgyslės pažeidimą.
- Jei pažeista vieta sėkmingai suaugo, kitas etapas - rando vietoje susiformavusio naujo audinio stiprinimas, kad jis taptų toks pats stiprus ir tamprus, kaip ir likusi sausgyslės dalis. Šis etapas trunka 4-5 mėnesius. Naujas audinys pamažu pratinamas prie tempimo ir kitų apkrovų. Tai daroma su veterinarijos gydytojo pagalba rūpestingai suplanavus žirgo darbo krūvį. Krūvis - ne visai tinkamas žodis, nes tą „krūvį" geriausiu atveju sudaro 10-15 minučių pažingsniavimas per dieną.
Tik apgydytos, bet iki galo neišgydytos ūmios traumos irgi virsta lėtinėmis problemomis, o nuo jų vaistų, deja, nėra. Vienintelis dalykas, ką galite padaryti - tai mažinti žirgo jaučiamą diskomfortą ir skausmą.
Sąnariai
Sąnarys - lanksti jungtis tarp kaulų, dėl kurios žirgas gali lankstyti koją ir judėti. Kam teko nelaimė sirgti sąnarių ligomis, tie puikiai įsivaizduoja tą nuolatinį, be vaistų kartais sunkiai pakenčiamą skausmą, paūmėjantį nuo drėgmės, sezono kaitos, pervargimo. Jei sąnariai nesveiki, žirgai irgi išgyvena tą patį.

Kas pažeidžia sąnarius?
Sąnario paviršių gali pažeisti neteisinga mityba ir neadekvatūs krūviai, tiesioginiai sąnario pažeidimai, per greitas augimas jaunystėje. Dažniausios problemos (osteochondrozė, osteochondritas): sąnarinio paviršiaus nusitrynimas, kremzlės pažeidimai ir atplyšimai, sąnarinės kapsulės ir raiščių sukaulėjimai, tokių sukaulėjimų atlūžimas ir patekimas į sąnario vidų („čipai“, kurie mechaniškai drasko glotnų sąnario paviršių ir blokuoja judėjimą, sukeldami stiprų skausmą bei uždegimą). Juos galima apgydyti stipriais vaistais ir ilgalaikiais papildais, kurie gana kenksmingi žirgo skrandžiui. O tam tikrais atvejais padės tik operacija. Gydymo kurso kaina nemaža, didelė ir problemos atsinaujinimo tikimybė. Jei sąnaryje jau yra atplyšusių dalelių („čipų“), vienintelė išeitis - operacija. Gera naujiena, kad jos jau atliekamos Lietuvoje, bloga naujiena - toks gydymo kompleksas tikrai kainuos daugiau nei kainavo jūsų žirgas.
Sąnario ir jo dalių sukaulėjimas – nebeatstatomas procesas. Vienintelis dalykas, ką galite padaryti – suteikti galimybę žirgui nuolat ramiai judėti, kad pažeisti sąnariai pastoviai judėtų ir neužstingtų. Skausmą gal šiek tiek sumažins šildomi tepalai, magnetinė, lazerinė terapija, sezoniniai papildai. Ar tokį žirgą galima joti? Tam tikrais momentais – taip, bet ligai paūmėjus jojimą teks ilgam pamiršti.
Raiščiai
Raiščiai - tai elastingas lygiagrečių skaidulų pluoštas, jungiantis kaulą su kaulu. Jų traumas sukelia panašios priežastys kaip ir sausgyslių ar sąnarių traumas. Jų gijimo trukmė irgi labai ilga. Be to, lėtinių pažeidimų veikiami raiščiai ima kaulėti. Tai labai skausminga, neišgydoma ir dažnesnė, nei įsivaizduojate, problema.
Kojų gydymo „kaina“: rentgeno nuotrauka - apie 40 Lt. Visų kojų ištyrimui gali prireikti iki 16-18 nuotraukų, nes probleminę vietą gali tekti apžiūrėti keliais skirtingais kampais. Gydymo arba skausmo mažinimo kaina gali siekti nuo kelių šimtų iki kelių tūkstančių litų.
Naudinga žinoti: pastaruoju metu populiarėja operacija (neuroktomija), kurios metu tiesiog nupjaunami kojos nervai, kad žirgas nebejaustų skausmo ir nustotų šlubuoti. Nėra vienareikšmės nuomonės apie tokių operacijų naudą ir etiškumą. Iš vienos pusės, žirgas taip išvaduojamas nuo lėtinio skausmo. Antra vertus, skausmas – gynybinė organizmo reakcija, tausojanti pažeistą kūno vietą nuo per didelių apkrovų. Nelikus šio apsauginio mechanizmo, ir žirgas, ir raitelis pradės mažiau saugotis. Be to, šalutinis tokios procedūros reiškinys - susilpnėjusi nejautrios vietos kraujotaka ir mityba, dėl to silpnėja audinių funkcija ir gyvybingumas.